糖尿病聴診記
「糖にも、
心にも響く運動」
柴本内科循環器科院長
糖尿病専門医
循環器専門医(兵庫県)
高血圧を併発した、78歳男性(糖尿病歴23年)。当院には、2001年から通院されています。栄養指導などを行い、さらに運動を勧めたところ、週4回1時間程度のウォーキングを開始。がんばっていただいた結果、HbA1cは7.1%(JDS)まで低下しました。
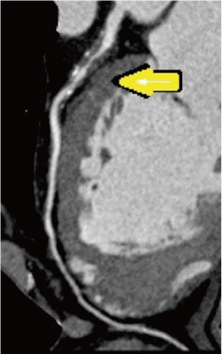
2011年、早歩き中に胸が痛くなったとの訴えがありました。運動負荷テストでST低下を認めたため、CTA(造影CTによる冠動脈の検査)を施行。冠動脈の左前下降枝近位部に不安定な高度狭窄病変の所見でした(
黄色矢印)。K病院にてステント治療を行い、症状は消失しました。82歳になった今も、元気に通院されています。
糖尿病の患者さんは、虚血性心疾患発症の確率が2~3倍高いといわれています。心筋梗塞など、重篤な急性冠症候群になる前に発見できればいいのですが、なかなか難しいのが現状です。特に、糖尿病の患者さんは狭心症の症状が出にくいとも言われています。また以前から、心筋梗塞は、男性に比べ、女性の方が重症で、死亡率も高いと言われています。女性は運動量が少ないので症状が出現しにくく、発見が遅れるためではないかと思っています。
糖尿病の患者さんには、「HbA1c改善のためには、とにかく運動が一番!」と勧めています。そして「運動は、冠動脈疾患の早期発見にもなって、糖にも、心にも響くのですよ」と説明しています。
2011年、早歩き中に胸が痛くなったとの訴えがありました。運動負荷テストでST低下を認めたため、CTA(造影CTによる冠動脈の検査)を施行。冠動脈の左前下降枝近位部に不安定な高度狭窄病変の所見でした(
黄色矢印)。K病院にてステント治療を行い、症状は消失しました。82歳になった今も、元気に通院されています。糖尿病の患者さんは、虚血性心疾患発症の確率が2~3倍高いといわれています。心筋梗塞など、重篤な急性冠症候群になる前に発見できればいいのですが、なかなか難しいのが現状です。特に、糖尿病の患者さんは狭心症の症状が出にくいとも言われています。また以前から、心筋梗塞は、男性に比べ、女性の方が重症で、死亡率も高いと言われています。女性は運動量が少ないので症状が出現しにくく、発見が遅れるためではないかと思っています。
糖尿病の患者さんには、「HbA1c改善のためには、とにかく運動が一番!」と勧めています。そして「運動は、冠動脈疾患の早期発見にもなって、糖にも、心にも響くのですよ」と説明しています。



PDFをダウンロード





